
With the Zenition 70, you get a reliable and user-friendly mobile C-arm that can help to elevate your clinical confidence and efficiency during an array of gastroenterology and urology procedures. Drive higher throughput with the intuitive design of the Unify workflow, proven to reduce imaging time1 and promote smooth teamwork in a user study. The Zenition 70 is available in two detector sizes: the FD 26 cm x 26 cm offers broad anatomical coverage, while the compact FD 21 cm x 21 cm provides ample space to work around patients.

These image intensifier-based systems offer point-and-shoot simplicity and reliable uptime to efficiently handle a busy schedule of interventions and surgeries for gastroenterology and urology. With its tablet-like controls, the Zenition 50 offers a step-up in ease of use and productivity that helps increase OR performance across your healthcare facility. The Zenition 50 Series comes with a 12-inch and 9-inch image intensifier and can go wherever you need it - surgery, intensive care and the emergency room.

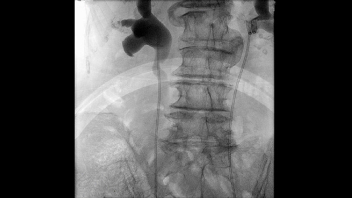
The healthcare community is currently taking a close look at strategies to reduce radiation exposure to patients and medical staff during interventional procedures. Our Zenition mobile surgery solutions are built on the Philips DoseWise Zenition foundation – a unique combination of techniques, programs and practices to address dose efficiency. They provide clinically relevant image quality during orthopedic, trauma and other interventional applications, while efficiently managing radiation exposure to patients and medical staff.
Made for easy use in fast-moving OR environments, Zenition builds on Philips Unify workflow to establish an immediate sense of familiarity and confidence during any intervention and surgical procedure.

Pulsed Fluoroscopy enhances imaging of dense and complex anatomy to support you in managing dose. You can select a range of fluoroscopy pulse rates to reduce dose when desired or enhance image quality as needed.

Pre-defined imaging parameters for different procedures and anatomy, which can be customized per application, elevate clinical confidence and efficiency for each day’s diverse procedures and patients.

Conveniently compare full-screen CT, MRI, X-ray and other images with the live DICOM images on the Mobile View Station to gain a comprehensive view of pathology.

Easily connect all your Zenition mobile C-arms with other OR systems and your hospital infrastructure thanks to advanced connectivity and interoperability tools, including high speed wireless data transfer. Connecting patient data across departments enriches clinical understanding and improves operational efficiency.

Unique asymmetric shutters increase collimation flexibility and precision by allowing you to move shutters independently from each other. You can adjust shutters and image orientation while on last image hold without using radiation.

Touch screen module The Touch screen module5 (TSM) is designed to deliver value by enhancing the clinical capabilities of Zenition 70. As an addition to the Zenition 70 platform, the TSM supports full table-side control for surgeons during procedures.
Perform orthopedic cases with ease and confidence using Philips Zenition mobile C-arm imaging systems, offering proven ease of use and future-fit capabilities.
Click here to learn moreExperience greater ease and confidence during vascular interventions and surgeries with Philips Zenition mobile C-arm imaging systems.
Click here to learn morePerform pain management cases with ease and confidence using Philips Zenition mobile C-arm imaging systems, offering proven ease of use and future-fit capabilities.
Click here to learn more
1 Results obtained during user tests performed in November 2013 by Use-Lab GmbH, an independent company. The tests involved 30 USA based clinicians (15 physicians teamed up with 15 nurses or X-ray technicians), who performed simulated procedures using Philips mobile X –ray systems in a simulated OR environment. None of them had worked with each other before. 2 Eligible RightFit Service Agreements are available with Technology Maximizer. 3 The X-ray dose reductions refer to specific features, and will vary depending on the dose parameters selected. 4 Data on file. Rosink H. Dose management Zenition 50/70. DHF335436. Internal technical paper. Philips Healthcare. January 2019. 5 TSM is available as optional item on Zenition 70 only.
You are about to visit a Philips global content page
ContinueWebová stránka je určená len pre osoby, ktoré používajú zdravodntícke pomôcky ako profesionáli, vrátane zdravotníckych pracovníkov, osôb konajúcich za poskytovateľov zdravotnej starostlivosti alebo za obchodníkov so zdravotníckymi pomôckami.
Ste osoba, ktorá spĺňa vyššie uvedené kritériá?