FieldStrength MRI magazine
Research - January 2018
The wealth of information from functional and diffusion MRI data has activated a large amount of neuroscience research and led to a demand for even more diffusion data and higher temporal resolution in functional MRI, with full brain coverage and in acceptable scan times. This inspired development of a next generation of acceleration: MultiBand SENSE can now accelerate functional and diffusion imaging without compromising image quality. It uses multi-band excitation to acquire multiple slices simultaneously, and reconstruct the individual slices using sensitivity encoding.
MultiBand acceleration factors of up to 8 are possible for BOLD fMRI, which enables better spatial and temporal resolution in scans that need to be performed quickly.

Virginia Commonwealth University, Richmond, Virginia, USA

Academic Medical Center Amsterdam, The Netherlands

Pasqual Maragall Foundation, Barcelona, Spain

University of Vermont, Burlington, Vermont, USA

University of Vermont, Burlington, Vermont, USA
Over the last decade we have seen a wave of research using MR methods, yielding new discovered insights with potential value in a broad area of neurological diseases and mental disorders. To expand their studies, neuroscientists were craving for improved MR capabilities to resolve more detail in their studies.
Functional and diffusion MRI (fMRI and dMRI) are often used by neuroscientists for visualizing disruptions or abnormalities in connectivity pathways, for instance in research into early recognition of central nervous system disorders, such as depression, bipolar disorder, Huntington’s disease, and Alzheimer’s disease [1-4]. The high incidence of such diseases drives advancement in identifying biomarkers to quantify and identify treatment influence.
The use of MultiBand SENSE is embraced by these neuroscientists as its acceleration helps for studying function and connectivity in the brain. It allows to obtain a high temporal resolution in BOLD fMRI. And the additional possibility to perform multiecho acquisitions at the same time enables differentiation between actual brain activation signals and other physiologically influenced signals coming from breathing, heartbeat, or head motion. This may help to “clean up” the functional brain images and thus visualize details that were previously difficult to image. This could find its use in visualizing disease and monitoring patient responses to treatment.
According to Joel Steinberg, MD, having a capability like MultiBand SENSE is almost essential for institutions to meet demanding imaging criteria needed to participate in multi-center clinical studies requiring high imaging specifications within strict time limits.

Joel L. Steinberg, MD, is a psychiatrist at the Institute for Drug and Alcohol Studies at the Virginia Commonwealth University (Richmond, Virginia, USA) and is the director of the Collaborative Advanced Research Imaging Program at the Wright Center for Clinical and Translational Research. His research interests include using fMRI and DTI to examine the basis of neurological afflictions, including addiction, multiple sclerosis, and cognitive impairment.
The Institute for Drug and Alcohol Studies at VCU is involved in research on addictions, other branches of psychiatry, research programs on traumatic brain injury and several large multicenter studies, including the ABCD study. “So, we use a lot of fMRI and also a good amount of diffusion imaging here,” says Dr. Steinberg. “I think MultiBand SENSE is an excellent technique for getting better temporal and spatial resolution from fMRI and dMRI scans that would otherwise be almost impossible to perform on patients, because of time considerations.”
In studies examining the neurological basis of drug and alcohol addiction, BOLD functional imaging is used for characterizing brain functional connectivity abnormalities in substance abusers versus normal controls.
MultiBand SENSE helps Dr. Steinberg increase temporal resolution in BOLD fMRI. “In event-related fMRI, it´s favorable to get very frequent acquisitions, in order to obtain a better sampling of the brain´s physiological activity over time. With a MultiBand factor of 6 we can get a TR of only 800 ms. Without MultiBand, our TR would be much higher. So MultiBand SENSE gives us a huge improvement in SNR, as it allows us to get more acquisitions during the same period of time. And time is of the essence, because most subjects cannot tolerate staying in the scanner for too long while performing an fMRI task.”
“For children, we try to keep the scans to 5 minutes each. We try to get 8 minutes for adults, but certainly no scan is longer than 10 minutes. Within these limited time periods, MultiBand SENSE has greatly improved our temporal resolution, while maintaining an excellent isotropic spatial resolution of 2.4 mm and 60 slices; that´s excellent full brain coverage.”
Dr. Steinberg adds that before using MultiBand SENSE, fewer acquisitions were being made with a poor temporal resolution of 2,300 milliseconds. However, using MultiBand SENSE now, “we’re able to improve the temporal resolution, SNR, spatial resolution, and still get full brain coverage, without making time too long for the research subject.”

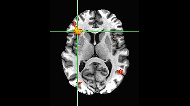
BOLD fMRI activation, depicted in color, of left anterior insula (MNI plane z = 8 mm) in a single subject by a contrast between viewing and matching faces with negative emotion (angry, sad, scared) versus happy faces. The voxelwise threshold is p < 0.001, and colored voxels survive false discovery rate correction to p < 0.05. The activated voxels in color are overlaid on the subject's own 3D-TFE image displayed in grayscale, after transforming the data to MNI space. The fMRI pulse sequence was a single shot FFE echo planar acquisition using MultiBand SENSE factor 6, dS SENSE factor 1, isotropic voxel size 2.4 mm, 60 transverse slices, TR 950 ms, TE 30 ms, flip angle 52 degrees, 517 dynamic scans, total scan duration 8:21 minutes. Image provided by James M. Bjork, PhD, Associate Professor of Psychiatry at VCU.
“With diffusion methods we’re looking for the effects of various substances of abuse on pathology in the white matter tracks, such as decreased white matter integrity as measured by changes in the diffusion parameters across the axon membrane, and also changes in the diffusion along the axis of the white matter track,” says Dr. Steinberg. “So in general, the better spatial resolution is, the better we can characterize tracks and tease apart the different tracks that may be passing through a single voxel. Crossing fibers that are not resolved may produce incorrect values for that voxel, falsely suggesting abnormality. These could throw off the whole endeavor of white matter tracking technology.”
Dr. Steinberg notes several improvements that MultiBand SENSE provides for these structural connectivity measurements. “Our diffusion quality is excellent with a MultiBand SENSE acceleration factor of 4. We get 1.7 mm isotropic spatial resolution and full brain coverage with 80 slices for imaging the white matter structural connectivity in the brain. Remember that we are limited by the time that a patient can tolerate staying in the scanner, but still we can get excellent spatial resolution, with a great number of gradient directions – 96 for example – which enables high angle resolution for our white matter connectivity studies. Without MultiBand SENSE, spatial resolution would be worse and we certainly wouldn’t be able to acquire as many gradient directions or b-values within the same period of time.”
MultiBand SENSE starts with the simultaneous excitation of two or more slices, while the acquisition readout is unchanged. So, the base resulting image is actually an accumulated image of all excited slices. However, similar to normal SENSE algorithms, the signal can be unfolded to reveal the separate images. This unfolding can be complicated when coil sensitivity profiles are similar for the separate slices. Therefore, the MultiBand SENSE technique employs a phase shift during excitation to simplify the unfolding process, and virtually eliminate artifacts generated by residual aliasing and noise enhancement [5]. The result is that MultiBand SENSE can acquire multiple slices in a time identical to that of a single slice acquisition, which thus provides a significant acceleration. The acceleration is chosen via the MultiBand SENSE factor that indicates the number of simultaneously acquired slices, which is always an integer number.

Simultaneous acquisition of multiple slices to accelerate fMRI and dMRI in the brain. A phase shift between slices is used to facilitate SENSE unfolding for obtaining the individual images.

Matthan Caan, PhD, is assistant professor and MRI physicist at the Academic Medical Center Amsterdam, The Netherlands. His research is into sparse imaging at high field and higher order diffusion modelling. He applies advanced neuroimaging protocols in clinical studies.
At the Academic Medical Center (AMC) in Amsterdam, researchers want to examine resting state networks in the brain of anorexia patients as well as the differences in the brain’s responses to pictures of high- and low-caloric food items. Matthan Caan, PhD, researcher and MRI physicist at AMC, developed the fMRI protocol for this study, using MultiBand SENSE to accelerate it.
“Our aim was to sample faster than the cardiac pulsation, so we wanted to be able to shorten repetition time TR to 700 ms,” says Dr. Caan. “We achieved that by using a MultiBand SENSE factor of 6 resulting in a 6-fold acceleration. We could still get good spatial resolution also with these settings. The fMRI task length is approximately nine minutes, which sets the total protocol length.”
“The high sampling rate possible with MultiBand SENSE now allows us to measure and filter out physiological noise – using independent component analysis – in functional imaging data. We can then examine the BOLD signal really related to the function of the brain and appreciate differences in strength and location of brain activation that occurs when the anorexia patients look at the high- or low- caloric food.”
Dr. Caan indicates that also diffusion imaging benefits from MultiBand SENSE. “We can speed up imaging and acquire more data in the same amount of time. In other words, it provides more statistical power within the same measurement time, which helps to perform better model fits, and get more precise parameter estimates. Or we can perform studies with smaller groups, something that was not possible previously.”
According to Dr. Caan, the diffusion protocol with MultiBand SENSE uses four b-values up to b 2200, 164 gradient directions, 58 slices in 16 minutes. “In this protocol, we use a MultiBand SENSE factor of 3. We found this to provide our preferred homogeneous image quality, for instance when acquiring data in transverse orientation, and then looking at the coronal plane.”
Physiological noise is an important source of unexplained variation in fMRI analyses. With MultiBand SENSE, sampling rates below one second become feasible. This allows for capturing cardiac and respiratory signals. These can be automatically determined and then filtered out using independent component analysis [6].
The fMRI pulse sequence was a single shot FFE echo planar acquisition using MultiBand SENSE factor 5, dS SENSE factor 1.25, isotropic voxel size 2.7 mm, 50 transverse slices, TR 700 ms, TE 30 ms, flip angle 52 degrees, 765 dynamic scans, total scan duration 9:01 minutes. Image provided by Matthan Caan, PhD, Assistant Professor at the AMC.


Juan Domingo Gispert, is head of Neuroimaging at the BarcelonaBeta Brain Research Center, Pasqual Maragall Foundation. His research interests combine development of neuro image acquisition and analysis techniques with their application in studying the aging and diseased brain. His group is focusing on detection of cerebral alterations in preclinical stages of Alzheimer’s disease.
Dr. Juan Domingo Gispert of the Barcelonabeta Brain Research Center, at the Pasqual Maragall Foundation, says there is converging evidence of a preclinical stage of Alzheimer’s disease (AD). “This means that even 20 years before the onset of symptoms, specific cerebral pathology might be already present in some individuals. Being able to identify individuals at risk of developing AD in the future, and trying to implement preventive strategies to avoid or delay the onset of the actual symptoms, is the ultimate goal of our research. Nowadays, patients at risk for cardiovascular disease – individuals with hypertension or high blood cholesterol – receive drugs in order to bring those risk markers back to normal. We have the same vision for managing Alzheimer’s disease in future.”
Pasqual Maragall, former mayor of Barcelona, created the foundation when he was diagnosed with Alzheimer’s disease himself. He believed that research is the only way to fight and hopefully defeat the disease at some point in future. “This involvement of a public figure, that people trust and rely on, was crucial in recruiting participants for our study. We had virtually thousands and thousands of people volunteering to participate,” says Dr. Gispert.
To better understand the preclinical stage of AD, the research center established a cohort of almost 3,000 healthy individuals, most of which are adult children of Alzheimer's disease patients, who regularly undergo clinical and cognition tests and surveys.
“Neuro imaging is very central to our research. Approximately 2,000 volunteers are eligible for MRI scanning, says Dr. Gispert. ”MRI is used every three years to examine morphology, vascular lesions, as well as structural and functional connectivity. The basic protocol includes fMRI and a DTI sequence. And the question is always, how to get the most detailed information, with the different sequences, in a fixed amount of time. MultiBand SENSE can help us there.”
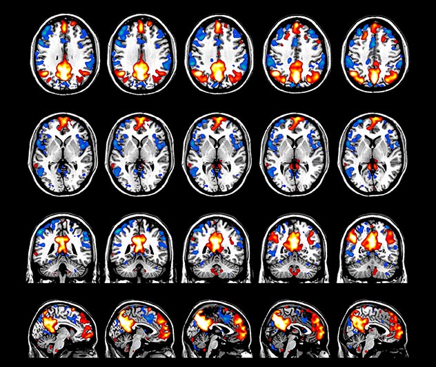
“We perform a resting-state fMRI sequence in all individuals of the cohort. Because of the vascular dynamics of restingstate in the brain, we feel it doesn’t make sense to go to shorter acquisition. So, we use MultiBand SENSE to double the amount of scans we acquire in a fixed amount of time. We are extremely happy with the quality we get for retrieving the default mode network. In about eight minutes, we acquire 300 volumes of 46 slices with an isotropic voxel size of 3 mm and a TR of 1.6 ms.”
“We have optimized all our protocols to allow quantitative analysis. Another important aspect is to use a field of view large enough to allow whole brain scanning for all 2,000 participants in the cohort, because total intracranial volume has been suggested to be a relevant factor in Alzheimer’s disease.”
Imaging was performed using Ingenia 3T CX with a 32ch dS Head coil, TR 1.6 sec, TE 35 ms, voxel size 3.1 x 3.1 x 3.1 mm, 46 slices and Multiband SENSE factor 2. Image provided by Dr. Gispert
Default mode network as discovered by resting state fMRI in one participant of the ALFA cohort [7]. rs-fMRI allows us to find networks of brain regions with highly correlated activity and sustaining distinct brain functions. The default mode network (in warm color scale) is active when the brain is focused on introspective thinking and has been shown to be altered in Alzheimer’s. Interestingly, brain areas of this network are known to show abnormal levels of one of the pathological hallmarks of Alzheimer’s (b-amyloid deposition) in preclinical stages. We want to better understand the alterations of these brain networks in preclinical stages of Alzheimer's and explore their potential use as biomarkers.

“In our study, we use a standard sequence for diffusion. MultiBand SENSE helps us here to reduce the acquisition time of the diffusion sequence, and thus allowing us to spend some extra time of our MR protocol on other sequences, for example for acquiring high resolution anatomical images of the hippocampus. We are extremely interested in looking at very subtle abnormalities in the hippocampus in individuals, who are cognitively intact.”
Some of Dr. Gispert’s colleagues use MultiBand SENSE for extensive diffusion imaging studies. “The great thing about MultiBand SENSE is that in a relatively short time – within 20 minutes – we can run very detailed DTI sequences providing multi-shell diffusion data in well over 100 different directions.
That really opens ways to studying brain connectivity in a very detailed manner and link that to functional connectivity, both in healthy brain and for psychiatric conditions”
To summarize, Dr. Gispert says: “MultiBand SENSE helps us in two ways: one is that we acquire more data in a given amount of time, which allows us to find subtle changes in the preclinical stages of Alzheimer’s disease. Second, MultiBand SENSE allows us to scan the whole brain for every participant in the cohort; this helps us avoid selection bias.”

Richard Watts, PhD, is Co-Director of the University of Vermont MRI Center for Biomedical Imaging, and an Associate Professor in the Department of Radiology. His academic interests include T1-weighted imaging in multiple sclerosis, Alzheimer’s disease, brain tumors, multimodal imaging of mild traumatic brain injury (mTBI), therapeutic hypothermia, and imaging connectomes using high b-value diffusion imaging.

Hugh Garavan, PhD, is a cognitive neuroscientist at the University of Vermont. With a background in cognitive psychology, his primary interests are in understanding the neurobiology of cognitive control functions. He uses structural and functional MRI to study individual differences and psychopathology with a specific focus on addiction and adolescent development.
The University of Vermont (UVM) is one of the research sites participating in the Adolescent Brain and Cognitive Development (ABCD) study* of long term brain development. This multicenter study of brain development and child health aims to recruit 10.000 children ages 9-10 and following them into adulthood, and integrating structural and functional brain imaging with genetics, neuropsychological, behavioral, and other health assessments. The study includes detailed structural and functional brain MR imaging at different ages, according to a standardized protocol. UVM employs MultiBand SENSE technology to perform diffusion imaging and fMRI that meet the advanced specifications of the study [8].
Richard Watts, PhD, Co-Director of the UVM MRI Center for Biomedical Imaging, explains how MultiBand SENSE aids him in diffusion imaging: “For the ABCD study, we have really high specifications, including the use of high b-values and many diffusion directions. At the same time, we need to acquire all these data in less than 10 minutes – something that we couldn’t do without using MultiBand SENSE.”
According to Dr. Watts, MultiBand SENSE also helps to meet the needs for fMRI “We’re imaging six times faster for functional MRI, with the option to move this up to eight. This means we can really push spatial and temporal resolution.”
According to Dr. Hugh Garavan, UVM would not have been able to participate in the ABCD study if they had not had MultiBand SENSE: “Having MultiBand SENSE in the protocol means UVM can play a role in what is probably one of the largest child development studies ever attempted.”
These images are produced using the ABCD protocol and illustrate the use of more sophisticated and accurate models of diffusion. The color FA maps are shown for reference. The diffusion tensor model represents the diffusion within each voxel as an ellipsoid.
Alternative models, such as constrained spherical deconvolution, better capture the rich information available with the use of high b-value dMRI and many sampling directions. In much of the brain, voxels contain multiple white matter tracts, and it is essential to capture this information to be able to perform accurate tractography and generate diffusion connectomes.






Diffusion acquisition on Achieva 3.0T dStream with matrix 140x141, 81 slices, FOV 240x240 mm, voxels 1.7x1.7x1.7 mm, TR 5300 ms, TE 89 ms, flip angle 78, MultiBand SENSE factor 3, partial Fourier 0.645, 102 diffusion directions, b-values 0 (6), 500 (6), 1000 (15), 2000 (15), 3000 (60) , scan time 2x 4:37 min. Images provided by Dr. Watts.
Emotional n-back task combines a test of working memory with the use of emotive (faces) and neutral (places) images. The contrast in the images is between the activity when faces are presented compared to places, showing activation in the amygdala, fusiform, and occipital face areas.
Processing based on the Human Connectome Project (HCP) pipelines. The high resolution of the fMRI data allows extraction of the cortical surface, with minimal averaging of non-cortical signal. Surface based analysis provides improved cross-subject alignment, and prevents signal contamination between adjacent sulci.
Group analysis of 88 9- and 10-year olds part of ABCD, all scanned at UVM on Philips Achieva 3.0T dStream. Scale runs from red p=0.001 to yellow p<10ˆ-5. Images provided by Dr. Watts.



Acquisition using the ABCD protocol for fMRI with TR 800 ms, TE 30 ms, flip angle 52°, 2.4 mm isotropic imaging resolution with a 216×216×144 mm3 field of view using a MultiBand acceleration factor of 6 (60 slices, no gap). Two runs of 5 minutes per subject.
Developing faster MRI is one of the key elements in creating the possibility to offer MR to more patients, a key objective in our vision at Philips. Philips was the first to introduce a commercially available parallel imaging technique, called SENSE. Continuous further innovations have resulted in the powerful dS SENSE and Philips MultiBand SENSE that can be combined with dS SENSE and multiecho offering great flexibility.
Neuroscientists using MultiBand SENSE in their fMRI and diffusion studies already see it can have a great impact. “I would definitely recommend to anyone working in the fMRI or diffusion imaging fields to seriously consider using MultiBand SENSE,” says Dr. Steinberg. Dr. Caan concurs: “My expectation is that MultiBand SENSE will be the default method of acquiring functional and diffusion data in studies from now on. I think it would reduce imaging time for protocols with the same parameter settings.”
Dr. Gispert is very satisfied with the progress made by implementation of MultiBand SENSE and the support offered by the global Philips clinical science network. “I would strongly recommend MultiBand SENSE to others doing research in neuroscience. In our case, our link to the Philips Clinical Science network has also been important, because the team helped us tailor the technical abilities of the scanner to our specific research project.”
2. Shaffer JJ, Ghayoor A, Long JD, Kim RE, Lourens S, O’Donnell LJ, Westin CF, Rathi Y, Magnotta V, Paulsen JS, Johnson HJ. Longitudinal diffusion changes in prodromal and early HD: evidence of white-matter tract deterioration. Hum Brain Mapp. 2017;38:1460-77. 3. Wang T, Shi F, Jin Y, Yap PT, Wee CY, Zhang J, Yang C, Li X, Xiao S, Shen D. Multilevel deficiency of white matter connectivity networks in Alzheimer’s disease: a diffusion MRI study with DTI and HARDI models. Neural Plast. 2016;2016:2947136. 4. Wang Y, Wang J, Jia Y, Zhong S, Niu M, Sun Y, Qi Z, Zhao L, Huang L, Huang R. Shared and specific intrinsic functional connectivity patterns in unmedicated bipolar disorder and major depressive disorder. Sci Rep. 2017;7:3570.
1. Nir TM, Jahanshad N, Toga AW, Berstein MA, Jack CR Jr., Weiner MW, Thompson PM. The Alzheimer’s Disease Neuroimaging Initiative (ADNI). Connectivity network measures predict volumetric atrophy in mild cognitive impairment. Neurobiol Aging. 2015;36:S113-S120.
5. Setsompop K, Cohen-Adad J, Gagoski BA, Raij T, Yendiki A, Keil B, Wedeen VJ, Wald LL. Neuroimage. 2012 Oct 15;63(1):569-80. doi: 10.1016/j. neuroimage.2012.06.033
6. Beckmann CF. Modelling with independent components. Neuroimage [Internet] 2012;62:891–901. doi 10.1016/j.neuroimage.2012.02.020.
7. Molinuevo et al. The ALFA project: A research platform to identify early pathophysiological features of Alzheimer's disease. Alz Dem. June 2016 Volume 2, Issue 2, Pages 82–92. doi 10.1016/j.trci.2016.02.003
8. ABCD study, https://addictionresearch.nih.gov/abcd-study Philips is not sponsoring this study.

Stay in touch with Philips MRI
You are about to visit a Philips global content page
ContinueWebová stránka je určená len pre osoby, ktoré používajú zdravodntícke pomôcky ako profesionáli, vrátane zdravotníckych pracovníkov, osôb konajúcich za poskytovateľov zdravotnej starostlivosti alebo za obchodníkov so zdravotníckymi pomôckami.
Ste osoba, ktorá spĺňa vyššie uvedené kritériá?